3 أكتوبر، 2020
إقامة محاضرة علمية تخصصية للدكتور رائد محمد أيوب الدليمي/ بورد جراحة الفم و الوجه والفكين / و الذي يعمل في الولايات المتحدة الأمريكية

برعاية السيد رئيس جامعة الموصل المحترم أ. د. قصي كمال الدين الأحمدي و بإشراف السيد عميد كلية طب الأسنان أ. م. د. ريان سالم حامد ، استضافت كلية طب الأسنان يوم الجمعة ٢/ تشرين الأول/ ٢٠٢٠، الدكتور رائد محمد أيوب الدليمي/ بورد جراحة الفم و الوجه والفكين / زميل الكلية الملكية للجراحين / اختصاص دقيق ليزر
في محاضرة عن زراعة الأسنان تحت عنوان:
مقدمة سريرية شاملة عما تحتاج أن تعرف حول الزرعات داخل العظم ذات شكل الجذر.
A Comprehensive Clinical Introduction:
What You Need to Know about Endosseous Root Form Dental Implants
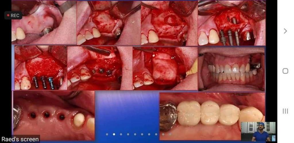
و تناولت المحاضرة أهم النقاط الأساسية في الجزء الجراحي من عمليات زراعة هذا النوع.. كما وضح الدكتور عددا من الحالات و المشكلات التي تواجه أطباء الأسنان خلال هذه العمليات و كيفية تشخيصها و التغلب عليها.
الدكتور رائد محمد ايوب الدليمي
حاصل على بورد جراحه الفم والوجه والفكين و زميل الكلية الملكية للجراحين /اختصاص دقيق في طب الليزر.
الدكتور يعمل كتدريسي في جامعة نيويورك- برنامج / تدريب المقيمين /جراحه الفم
و طبيب اسنان في مدينة شيكاغو / أميركا
و طبيب أسنان و جراح فم/ برنامج جوبتانك لتدريب
المقيمين في ولايه ميرلاند/ أميركاالدكتور رائد حاصل على بكالوريوس طب و جراحة الفم و الأسنان / جامعة الموصل ، و على البورد العربي في جراحة الفم و الوجه والفكين و زمالة العديد من الكليات الملكية و الشهادات.هذه المحاضرة هي استمرار لسلسلة المحاضرات العلمية عبر الإنترنت (الويبينارات) التي تقيمها الكلية ضمن الجهود المبذولة للتواصل و الانفتاح و التعاون مع مختلف الجهات في تطوير المستوى العلمي و العملي لأطباء الأسنان بشكل عام و لكادر الكلية بشكل خاص.



























