4 يوليو، 2020
كلية طب الأسنان تقيم محاضرة في تقويم الاسنان تلقيها الدكتورة يوانا كيداراكو من اليونان.

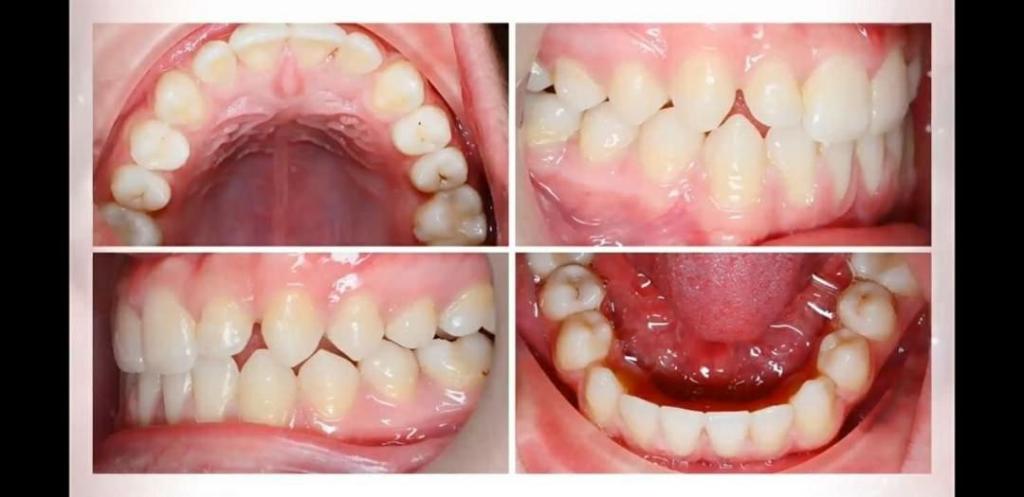
استضافت كلية طب الاسنان جامعة الموصل يوم الاربعاء المصادف للاول من تموز للعام 2020 وفي تمام الساعة الثالثة عصرا بتوقيت بغداد محاضرة علمية من خلال منصة برنامج الزوم. قدمتها الدكتورة Ioanna Gidarakou—(يوانا كيداراكو) الاختصاصية في تقويم الاسنان الشفاف من جامعة أرسطو في سالونيك Aristotle University of Thessalonik من اليونان بمحاضرة ويبنر بعنوان :(Biomechanics & clinical applications of Aligner therapy)
(الميكانيكية الحيوية والسريرية لتطبيقات معالجات تقويم الاسنان الشفاف)قدمت من خلالها الدكتورة شرح مفصل عن آلية واهمية وفائدة هذا الجهاز الجديد والمستخدم في علاج تقويم الاسنان. مستعرضة بامثلة لحالات مرضية تم علاجها باستخدام هذا الجهاز.
وتاتي هذه المحاضرة ضمن اطار تعزيز التواصل العلمي ومشاركة المهارات العلمية والنظرية مع الجامعات والمراكز البحثية العالمية لطلبة الدراسات العليا واختصاصي تقويم الاسنان وتطوير مهاراتهم العلمية والعملية.
حضر المحاضرة اختصاصي تقويم الاسنان في العراق والدول العالمية. وطلبة الدراسات العليا في الكلية المعنين بهذا الاختصاص.

























