4 يوليو، 2020
كلية طب الاسنان في جامعة الموصل تقيم محاضرة علمية عن تقويم الاسنان

اقامت كلية طب الاسنان جامعة الموصل محاضرة علمية استضافت فيها الدكتورة (يوانا كيداراكو) الاختصاصية في تقويم الاسنان الشفاف من جامعة أرسطو في سالونيك من اليونان بمحاضرة ويبنر بعنوان :( الميكانيكية الحيوية والسريرية لتطبيقات معالجات تقويم الاسنان الشفاف)، يوم الاربعاء الموافق (1 تموز 2020 ) ، عبر الفضاء الالكتروني ، حضرها طلبة الدراسات العليا واختصاصي تقويم الاسنان في العراق والدول العالمية.
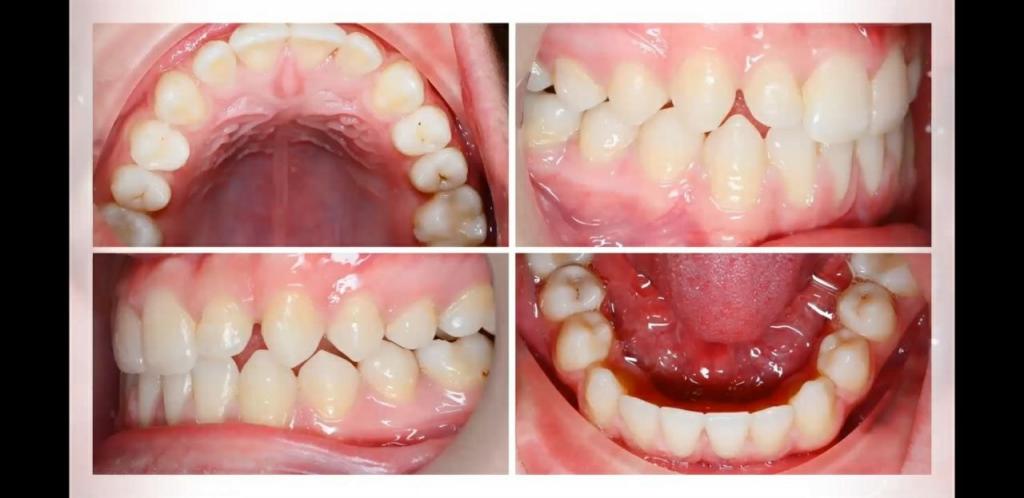
تناولت محاضرة الدكتورة شرح مفصل عن آلية واهمية وفائدة هذا الجهاز الجديد والمستخدم في علاج تقويم الاسنان. مستعرضة بامثلة لحالات مرضية تم علاجها باستخدام هذا الجهاز.
تهدف المحاضرة الى تعزيز التواصل العلمي ومشاركة المهارات العلمية والنظرية مع الجامعات والمراكز البحثية العالمية لطلبة الدراسات العليا واختصاصي تقويم الاسنان وتطوير مهاراتهم العلمية والعملية.























